HER is a type of protein that is closely related to cell proliferation. Its full name is human epidermal growth factor receptor.There are four “brothers” in the HER protein family, of which HER2 responsible for transmitting life information from outside the cell membrane into cells, it is one of the diagnostic indicators for breast cancer. HER2 is generally detected using an upright fluorescence microscope, immunohistochemistry or fluorescence in situ hybridization FISH technology.

In the field of tumor screening such as breast cancer and gastric cancer, the level of HER2 is a common indicator for tumor detection. Currently, the common methods for HER2 gene detection are immunohistochemical IHC technology and FISH technology.

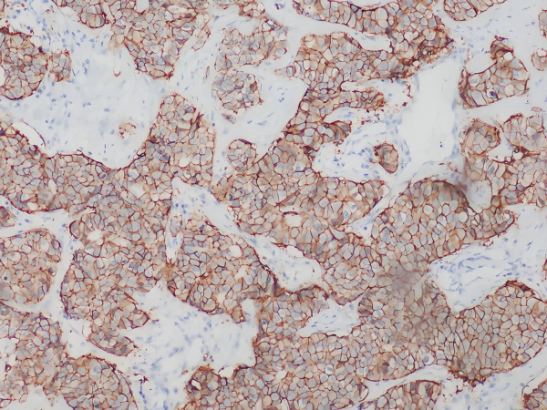
Immunohistochemical HER2 detection can be achieved using bright-field observation under an ordinary microscope. The equipment requirements are low, but the sensitivity and specificity are relatively weak.

In the detection of HER2 gene in breast cancer, fluorescence in situ hybridization (FISH) technology has higher detection accuracy.

Fluorescence in situ hybridization technology is based on the principle of complementary base facing. Through special treatment of tissue samples, probes with fluorescent substances are bonded to the target DNA. Finally, using an upright fluorescence microscope such as MF43-N directly amplify to observe the location of the target DNA. This technology is widely used in tumor pathological diagnosis, gene mapping, chromosome research and other fields.
MSHOT MF43-N upright fluorescence microscope can be equipped with a high-sensitivity fluorescence camera and MFISH image analysis system. It uses fluorescent groups to label DNA needles, and then performs in-situ hybridization between the labeled DNA probes and the sample DNA.Count the fluorescence signals under a microscope to provide a basis for clinical diagnosis.

