Description
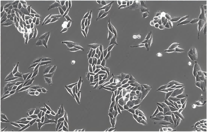
The inverted microscope MIX60 is a research-grade biological microscope with high imaging performance, function similar to Olympus CKX53. Its intelligent use, clear observation details, flat image field without field curvature, ultra-long working distance condenser, supports bright field and phase contrast observation, and can be upgraded to expand fluorescence observation; equipped with OLED digital display screen and voice broadcast function can display light intensity and objective lens magnification in real time.















